Dentálhigiénia: Egészséges és ragyogó fogak fájdalom nélkül

Dentálhigiénikus szakember.

Sokaknak ez a megnevezés kellemesebben cseng mint a fogorvos. De mit is értsünk ez alatt? Ez nem csak a fogorvos egy másik megnevezése? Mikor keressük fel és mit is csinál tulajdonképpen?    
Ha hasonló kérdések kavarognak a fejében, akkor most segítségünkkel megismerheti őt, bekukkanthat a rendelőjébe és megtudhatja, mi vár ott önre.

Ki is az a dentálhigiénikus (félni kell tőle)?

A fogorvossal ellentétben nála nem találunk fúrót és a komolyabb fogínyproblémáinkon sem tud segíteni. Épp ellenkezőleg. Az ő kezeléseinek köszönhetően kerülhetőek el a fájdalmas beavatkozások, hogy a fogorvost csak a preventív ellenőrzések miatt kelljen felkeresnünk.

A dentálhigiénikus szakember felkeresése után láthatóan szebb, tisztább és egészségesebb mosollyal távozik majd. Ezenkívül megtanulhatja, hogyan kell helyesen gondoskodni a fogínyről, melyik fogkefe a legmegfelelőbb önnek és milyen segédeszközökről nem szabad megfeledkezni, hogy a fogai egészségesek maradjanak.

Ez vár önre egy általános látogatásnál:

Legtöbben félünk az ismeretlentől, ezért most elmondjuk, mi vár önre.

A páciensek első kérdése leggyakrabban: "Fájni fog a kezelés?" Nem, a dentálhigiéniai kezelés nem fájdalmas. Persze, ha komolyabb problémákkal érkezik, mint például a fogínygyulladás, akkor a kezelés egy kicsit fájdalmas lehet. Ezért a látogatást ne odázza el és ne várjon addig, míg késő lesz.

Az elején a szakember megkérdezi, hogyan ápolja a fogait és tanácsot ad. Így megtudhatja, mivel van problémája, azt hogyan kell kezelni, és hogy lehet ezt a jövőben elkerülni – főként a foglepedéket és a fogkövet.

 Egészséges és ragyogó fogak fájdalom nélkül

 Egészséges és ragyogó fogak fájdalom nélkül

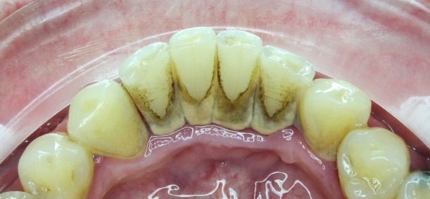
A dentálhigiénikus ezután hozzákezd a fogai tisztításához. Ultrahang segítségével eltávolítja a fogkövet, amely a fogakon megtapadt lepedék mineralizációja révén alakul ki, s amely idővel fogszuvasodást okoz. Az egész folyamat alapja, hogy az ultrahang megszünteti a fogkő tapadását, így az leesik. Mechanikus eltávolítás esetén kis kaparókat használ.

A fogkő nemcsak a fogakon, de a fogíny alatt is  megtalálható. Bár nem látni, de ez nem jelenti azt, hogy nem káros. Épp ellenkezőleg, sokat árthat! Ez a dentálhigiéniai kezelésen lézer segítségével könnyen eltávolítható.

A lepedék és az elszíneződések (kávé, cigaretta, étel...) eltávolítására a szakember keféket, speciális fogkrémeket és “air flow” polírozást alkalmaz. Ez az eljárás szépen kifényesíti és megtisztítja a fogakat egy igen finom szemcsés anyag, víz és levegő keverékével.

  Egészséges és ragyogó fogak fájdalom nélkül

Végül a fogzománca fluoridációja következik. Ennek köszönhetően a fogai ellenállóbbak és kevésbé érzékenyek lesznek, illetve friss leheletet eredményez. Az eljárás oldatok, gélek segítségével történik és teljesen fájdalommentes.

Azt gondolja, megfelelően gondoskodik fogairól ?

Sokan a dentálhigiéniai kezelésen szembesülnek azzal, hogy nem megfelelően gondoskodtak a fogaikról. Mindenkinek közülünk más a fogsora, más a fogai mérete, illetve a fogközök közötti távolsága. És ami érvényes az egyikünknél, nem biztos, hogy a másiknál is beválik.

A dentálhigiéniai kezelésen egy pontos utasítást kap, hogyan gondoskodjon egyedi fogsoráról. Keményebb vagy puhább fogkefére van szüksége? Milyen méretű fogközi fogkefét kellene használnia? Melyik fogkrém a legalkalmasabb az Ön problémájára?

Emellett megtanulja a fogtisztítás helyes technikáját is, hiszen csak a helyes mindennapi fogtisztítással érhető el az egészséges fogsor, épp ezért nem szabad alábecsülni.

Ragyogó fogsorra vágyik?

  Egészséges és ragyogó fogak fájdalom nélkül

A legbiztonságosabb és leghatékonyabb módja ennek az, ha ezt egy szakemberre bízza. Az otthoni fehérítő kúrák nem olyan hatékonyak, mint a rendelőben végzett eljárások.

Mi is az ambuláns fehérítés előnye?

Az egész folyamat nem tart hosszú ideig, az eredmény pedig azonnali és szemmel látható. A szép mosoly tartósabb mint otthoni fehérítés esetén. És természetesen nem kell félni, hiszen a beavatkozás szakember felügyelete mellett történik és teljesen biztonságos.

Gyerekeknek, várandósoknak és azoknak is, akik félnek a fogorvostól

Hogy a fogaink sokáig jó állapotban legyenek, ajánlatos a dentálhigiénikust évente 2x felkeresni. Előbb látogassa meg a fogorvost, aki aztán dentálhigiániai kezelésre küldi.

De ha már a fogorvos gondolatától isl libabőrös lesz, kezdje a látogatást a dentálhigiénikusnál. Rájön majd arra, hogy a fogorvostól nem kell tartani és a fogakról való gondoskodás sem fájdalmas. És a tiszta fogaknak köszönhetően akár még a fogorvost is elkerülheti.

A gyerekekkel is ajánlatos felkeresni a dentálhigiénikus szakember rendelőjét. A szakember fájdalommentesen megtisztítja a legkisebbek fogait és elmagyarázza a helyes otthoni fogápolást mind a gyerekeknek, mind szüleiknek. Egy ilyen látogatás a gyerekben nem ébreszt kellemetlen érzéseket és nem kötődik majd stresszhez és fájdalomhoz, így a jövőben is szívesen jár majd a gyermek.

Speciális fogápolásra van szükségük a leendő anyukáknak is. A hormonális változásoknak köszönhetően a fogínyproblémák, főként fogínygyulladás jelentkezhet. A szakember megfelelően gondoskodik ezekről és felvilágosítást ad a születendő gyermek megfelelő fogápolásáról is.

  Egészséges és ragyogó fogak fájdalom nélkül

Nemcsak a szépségről szól, sokkal inkább az egészségről

Érdemes dentálhigiéniai kezelésre bejelentkezni? A kezelés eredménye önmagáért beszél.

A rendszeres kezeléssel csökkenthető a fogszuvasodás, főként a kevéssé látható helyeken. Nem gyullad be a fogíny és nem kezd el mozogni a fog.

Az is előfordult már, hogy szakemberünknek sikerült megmentenie egy már mozgó fogat. Következetes tisztítással a gyulladás megszűnt, a csont megújult, a fog pedig újra egészséges lett.

Ha úgy dönt, hogy időt és pénzt fektet az ilyen prevencióba, biztosan megéri. Nemcsak a fogorvost spórolja meg, de az egészségét is óvja. A dentálhigiéniai kezelés célja nemcsak a szép fehér mosoly, hanem az egészséges fogak is.

Az AXIS-DENT klinika nevében:

  Egészséges és ragyogó fogak fájdalom nélkül

MUDr. Eva Hrutková    
fogszabályozó szakorvos    
info [at] axis-dent.eu

“AXIS-DENT: Egészséges és egyenes fogsor egy életen át”

axis-dent.eu    
strojcekynazuby.sk    
+421 948 303 124 (recepció)    
info [at] axis-dent.eu