A röntgentechnika napjainkban már szerves részét képezi az első fogorvosi vizsgálatnak, illetve a rendszeres ellenőrzéseknek is, miközben a páciens csak minimális sugárzásnak van kitéve.
Milyen jelentősége van a röntgennek?
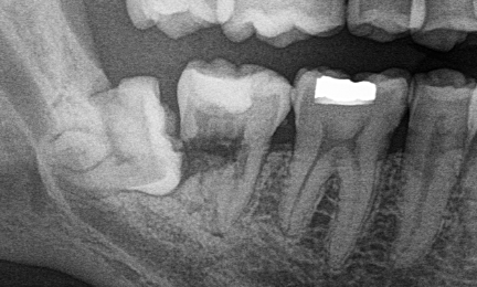
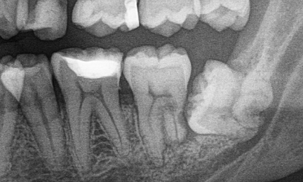
A fogorvos a foggyökeret és a fogak belső szerkezetét csak röntgen segítségével látja. Éppen ezért a kezelés megkezdése előtt a fogorvosnak szüksége van egy röntgenfelvételre, amelynek segítségével felméri a fogak állapotát, illetve pontos képet kap a fogak elhelyezkedéséről. Ennek a felvételnek az elkészítése a legtöbb esetben elengedhetetlen, hiszen csak így lehetséges a pontos diagnózis felállítása, illetve annak megállapítása, hogy milyen kezelésre van szükség. Átfogó képet ad a fogakról, a csontszövetekről, amelyekbe a fogak beágyazódnak, ugyanakkor segít a fogak körüli daganatos megbetegedések felderítésében is. A fogorvos röntgen segítségével ellenőrizheti a fogközi szuvasodást, az endodonciai kezelés folyamatát (gyökércsatornák feltöltése), illetve nélkülözhetetlen fogpótlás, foghúzás, fogszabályozás esetén is.

Milyen röntgenkészülékkel találkozhat az AXIS-DENT klinikán?
Klinikánk panorámaröntgennel – OPG, teleröntgennel – TELE RTG és kis fogröntgennel – IO RTG rendelkezik.
Az OPG segítségével 2 dimenziós képet kaphatunk az orr-és arcüregről, az állcsontokról, valamint az egész fogsorról. A felvételen láthatóvá válnak a szabad szemmel nem észlelhető fogszuvasodások, az esetleges gyulladások és ki nem bújt fogak. Emellett a fogínysorvadás vagy akár fogínyvérzés lehetséges okai is felderíthetőek.
A fogászati szárnyas röntgen (Bite-wing) alkalmas a fogak közötti vagy a tömések alatti fogszuvasodás feltárásában, amelyek szabad szemmel nem láthatóak.
Az AXIS-DENT klinikán egyedülálló 3D CBCT diagnosztikát is biztosítunk. A hagyományos CT-hez képest jelentősen kisebb a sugárterhelés, és sokkal több információt nyújt, így több probléma feltárására alkalmas. A CBCT diagnosztikát Orthophos SL eszközön végezzük.

Biztonságos a fogászati röntgen?
A röntgensugár egy elektromágneses hullám, amely áthatol a szöveteken. A manapság használt fogászati röntgenek kis sugárdózissal működnek. Fontos tudni, hogy a fogászatban a sugárzás időtartama valóban rövid. A rendkívül alacsony dózisok ellenére minden röntgenfelvételt az előírásoknak megfelelően kell elvégezni. A páciens védelme érdekében a felvétel készítése alatt egy ólommellényt kell viselni. A fogászati röntgenfelvételt minden esetben a fogorvos javasolja, így ennek gyakorisága egyénenként változhat. A szabályok betartása mellett egy biztonságos diagnosztikai módszer, amelynek jelenleg nincs megfelelő alternatívája az orvostudományban.