Žiarivý úsmev našich detí
Nácvik čistenia zubov v materských školách

Aké zuby by ste dopriali svojmu dieťaťu?
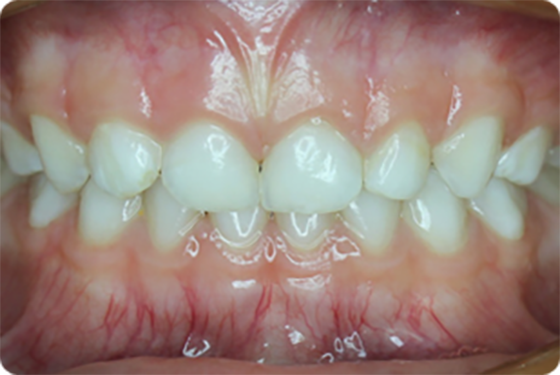
Ideálne by vaše dieťa malo mať takéto zuby:


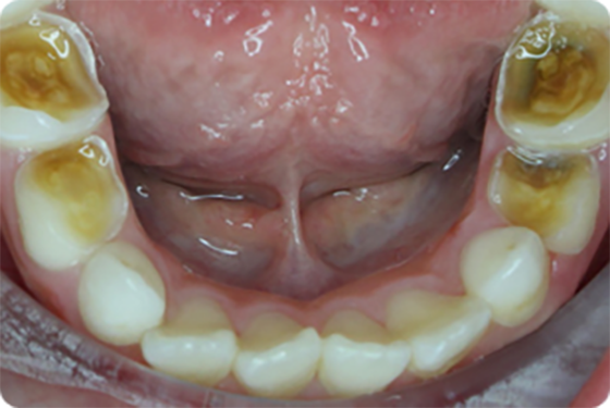
Ak si dieťa v tomto veku neosvojí návyk správnej ústnej hygieny, neskôr to môže dopadnúť aj takto!


Pečatenie zubov u detí je tiež jednou možnosťou prevencie zubného kazu. Pečatidlo je plastický náter nanesený najčastejšie na žuvacie plochy zadných zubov. Zabráni baktériám a potrave vniknúť do rýh a jamiek zubov.

Čo je našim cieľom?
Praktický nácvik správnej techniky čistenia zubov












Dôležitosť dočisťovania zubov v tomto veku rodičom




Správna výživa ako prevencia zubného kazu

